11540 Oakhurst Rd, Largo, FL 33774
(727) 596-3991
Dr. Graybill
Reviews
Gallery
Appointment
Home
Meet Dr. Graybill
Our Services
Smile Gallery
Contact Us
Request Appointment
Back
Meet The Doctor
Forms
Back
Services offered at Oakhurst Dental
Cosmetic Dentistry
Metal-free Crowns
Teeth Whitening
Full Mouth Restoration
Dental Implants
TMJ Treatment
Dentures & Partials
Quick Denture Repair
General Dentistry
Emergency Care
Root Canal
Tooth Colored Fillings
Family Dentistry
Preventive Care
Gum Care
Oral Cancer Screening
Smile Gallery
Elle
Before
After
Heidie
Before
After
Karen
Before
After
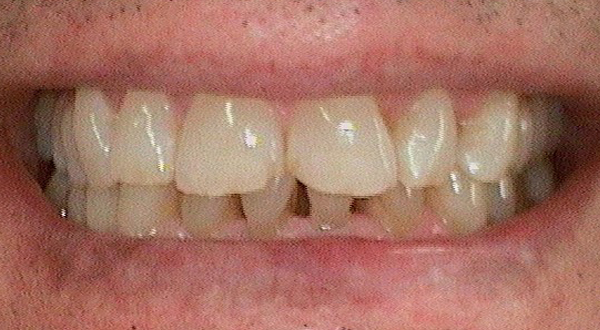
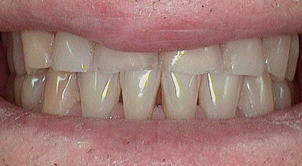
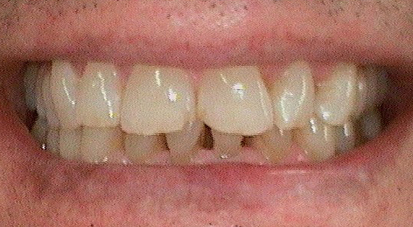
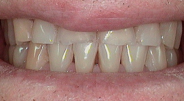
Paul
Before
After
Janet
Before
After
Kevin
Before
After
Diane
Before
After
Charles
Before
After
John
Before
After
Dana
Before
After
Mary
Before
After
Anthony
Before
After
Terry
Before
After